Dr. Osterholm discusses COVID-19 with U of M President Joan Gabel
A prominent Minnesota doctor met virtually with University of Minnesota President Joan Gabel Wednesday, telling her that the outcome of the COVID-19 pandemic is in our control.
A prominent Minnesota doctor met virtually with University of Minnesota President Joan Gabel Wednesday, telling her that the outcome of the COVID-19 pandemic is in our control.
Report: Gophers will be without 20 players against Purdue due to COVID, injuries
The University of Minnesota football team will be without its offensive line coach Friday night as the Gophers host Purdue at TCF Bank Stadium, team officials said.
The University of Minnesota football team will be without its offensive line coach Friday night as the Gophers host Purdue at TCF Bank Stadium, team officials said.
College students get tested for COVID-19 before Thanksgiving travel
Minnesota health officials are urging residents not to take part in large Thanksgiving gatherings, and that includes college students heading home for the holidays.
Minnesota health officials are urging residents not to take part in large Thanksgiving gatherings, and that includes college students heading home for the holidays.
University of Minnesota sees 750% jump in weekly COVID-19 cases since Halloween
As the state of Minnesota experiences a surge in coronavirus cases, the University of Minnesota campus is seeing its own spike as well.
As the state of Minnesota experiences a surge in coronavirus cases, the University of Minnesota campus is seeing its own spike as well.
All clear given after TCF Bank Stadium evacuated during bomb threat investigation
TCF Bank Stadium was evacuated Thursday as law enforcement investigated a bomb threat. The all clear was given around 2:30 p.m.
TCF Bank Stadium was evacuated Thursday as law enforcement investigated a bomb threat. The all clear was given around 2:30 p.m.
U of M's Dr. Osterholm named to President-elect Biden's COVID-19 advisory board
The University of Minnesota’s top infectious disease doctor has been tapped to advise President-elect Joe Biden on the COVID-19 pandemic.
The University of Minnesota’s top infectious disease doctor has been tapped to advise President-elect Joe Biden on the COVID-19 pandemic.
Strained relationships? How to repair damage with friends & family after election season
This election season has been tough on many families and friends. Dr. Richelle Moen, a family therapist and professor at the U of M Medical School, joined the Buzz with tips on repairing strained relationships.
This election season has been tough on many families and friends. Dr. Richelle Moen, a family therapist and professor at the U of M Medical School, joined the Buzz with tips on repairing strained relationships.
University of Minnesota develops test to help cannabis farmers predict THC levels
The University of Minnesota has validated a genetic test that it hopes will help Cannabis farmers meet legal THC standards and help growers avoid having to destroy noncompliant crops.
The University of Minnesota has validated a genetic test that it hopes will help Cannabis farmers meet legal THC standards and help growers avoid having to destroy noncompliant crops.
University of Minnesota gives each student 1 saliva COVID-19 test
The University of Minnesota says a new program will make one saliva test available for every student to use at their own discretion if they are concerned about being exposed to the virus.
The University of Minnesota says a new program will make one saliva test available for every student to use at their own discretion if they are concerned about being exposed to the virus.
The University of Minnesota plans in increase COVID testing
The U is increasing its testing efforts in a hope of being able give each student a COVID test.
The U is increasing its testing efforts in a hope of being able give each student a COVID test.
The 'darkest days' of the pandemic yet to come, expert warns
During a week that brought Minnesota its first taste of winter, there’s a forecast of another sort taking shape.
During a week that brought Minnesota its first taste of winter, there’s a forecast of another sort taking shape.
Gophers' Rashod Bateman and Tanner Morgan named to Big Ten's Preseason Honors list
Two Minnesota Gophers are headline the Big Ten West's Preseason Honors list, as the conference heads into a delayed start to the season next weekend.
Two Minnesota Gophers are headline the Big Ten West's Preseason Honors list, as the conference heads into a delayed start to the season next weekend.
University of Minnesota conducting trial of COVID-19 antibody solution
The University of Minnesota is conducting a trial of a COVID-19 antibody solution called hIVIG, according to the National Institutes of Health.
The University of Minnesota is conducting a trial of a COVID-19 antibody solution called hIVIG, according to the National Institutes of Health.
Univ. of Minnesota Regents vote to cut 3 men's sports programs
The University of Minnesota Board of Regents voted Friday to eliminate three men’s sports programs.
The University of Minnesota Board of Regents voted Friday to eliminate three men’s sports programs.
U of M Medical School selected to join national COVID-19 antibody research network
The University of Minnesota Medical School has been selected as one of four Capacity Building Centers in the country dedicated to studying COVID-19 antibodies.
The University of Minnesota Medical School has been selected as one of four Capacity Building Centers in the country dedicated to studying COVID-19 antibodies.
University of Minnesota moves spring break to April
The University of Minnesota will be moving its spring break to April this spring semester, according to university President Joan Gabel.
The University of Minnesota will be moving its spring break to April this spring semester, according to university President Joan Gabel.
2 University of Minnesota professors awarded MacArthur 'genius grants'
Two University of Minnesota researchers have been awarded MacArthur “genius grants.”
Two University of Minnesota researchers have been awarded MacArthur “genius grants.”
New University of Minnesota history project shows COVID-19 impact on immigrants
The University of Minnesota Immigration History Research Center recently launched the "Immigrants in COVID America" project to record the health, economic and social impact of the COVID-19 pandemic on immigrants and refugees in the U.S.
The University of Minnesota Immigration History Research Center recently launched the "Immigrants in COVID America" project to record the health, economic and social impact of the COVID-19 pandemic on immigrants and refugees in the U.S.
Gopher band returns with instrument wraps designed by Minnesota company
With the help of a Minnesota company, the notes are flowing from the University of Minnesota School of Music.
With the help of a Minnesota company, the notes are flowing from the University of Minnesota School of Music.
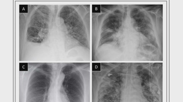
Researchers use artificial intelligence to detect COVID-19 in hospital patients
Researchers at the University of Minnesota and M Health Fairview are developing a new technology that uses artificial intelligence to help doctors detect COVID-19 in hospital patients.
Researchers at the University of Minnesota and M Health Fairview are developing a new technology that uses artificial intelligence to help doctors detect COVID-19 in hospital patients.


















