Rabies patient becomes first fatal case in US after post-exposure treatment, report says

A Minnesota man is the first reported fatality due to rabies in the United States despite receiving appropriate post-exposure prophylaxis, according to a recent article published in Clinical Infectious Diseases.

He was an 84-year-old man who died in 2021 about six months after waking up in the morning while a rabid bat was biting his right hand.

"This report summarizes the first reported infection of rabies virus in a person who received timely and appropriate treatment to prevent rabies infection following exposure since the development of modern rabies vaccines," lead author Stacy Holzbauer told Fox News Digital.

SLEEP DEPRIVATION COULD REDUCE VACCINE ANTIBODIES, NEW STUDY FOUND

She is a Centers for Disease Control and Prevention (CDC) epidemiology field officer with the Minnesota Department of Health and a deputy state veterinarian in St. Paul, Minnesota.

"This is the first reported case of failure of appropriate rabies prophylaxis therapy since the onset of such therapy," added Dr. Aaron Glatt, chief of infectious diseases at Mount Sinai South Nassau Hospital on Long Island, New York.

"This unfortunate individual had an unrecognized immune deficiency that probably contributed to the failure."

Symptomatic rabies is almost 100% fatal

Although rabies is almost uniformly fatal once symptoms develop, people can prevent the disease by vaccinating their pets, staying away from wildlife and getting medical care after potential exposures before developing symptoms, according to the CDC.

Stethoscope.jpg

FILE- A doctor holds a stethoscope. (Adam Berry/Getty Images)

The condition is caused by the rabies virus, known as RABV, that spreads to people and pets through saliva, usually after a bite or scratch by a rabid animal.

However, it can also spread by direct contact with the eyes, mouth or open wounds,  according to the World Health Organization (WHO). 

IDAHO REPORTS FIRST HUMAN TO DIE FROM RABIES SINCE 1978

Rabies in found in mostly bats, raccoons, skunks and foxes in the United States, but worldwide, the most common animal to carry rabies are dogs, per the CDC.

Most deaths globally are due to dog bites, with 95% occurring in Asia and Africa, per the WHO. 

Prevent rabies with post-exposure prophylaxis 

"Rabies post-exposure prophylaxis (PEP) is highly effective at preventing disease if administered before symptom onset," the authors said.

Post-exposure prophylaxis is a treatment that consists of a series of vaccinations and human rabies immunoglobulin injections, Holzbauer told Fox News Digital.

Rabies-virus1.jpg

FILE - A woman receives a bandage to cover an area on her arm where she received a shot.  (Joe Raedle/Getty Images)

After someone is bitten or scratched by a rabid animal, the United States Advisory Committee on Immunization Practices recommends cleaning the wound immediately.

After cleaning the wound, human rabies immunoglobulin (HRIG), or rabies antibodies, should be administered within the wound and also around it.

THESE ARE THE BEST IMMUNE-BOOSTING FOODS, ACCORDING TO NUTRITION EXPERTS

The patient should also receive a series of rabies vaccines on specific days within a two-week period, assuming the person is previously not vaccinated against rabies. 

HRIG is given so that the body has immediate antibodies to fight rabies until the immune system develops antibodies of its own, according to the CDC.

Approximately 60,000 people receive PEP annually in the U.S., compared to 29 million people globally, per the report.

During 2000–2021, an average of 2.5 persons died from rabies every year in the U.S., but none received prophylaxis to prevent rabies before developing symptoms. 

ILLINOIS MAN DIES OF RABIES IN STATE'S FIRST HUMAN CASE SINCE THE 1950S

"Everyone should remain very reassured however, that this [PEP] therapy will still be highly successful in preventing rabies in almost all cases if it is administered in the proper time frame," Glatt noted. 

Bat bit the man's hand

An 84-year-old man with coronary heart disease, controlled type 2 diabetes, hypertension, hyperlipidemia, chronic kidney disease and an enlarged prostate woke up on July 27, 2020, while a bat was biting his right hand. 

He didn’t see any bite marks but washed his hands with soap and water after the bite.

"The patient was bitten by a bat that he then captured," Holzbauer said.

"The bat tested positive for rabies and the patient immediately sought and was administered appropriate care, which included rabies post-exposure prophylaxis."

Rabies symptoms

About five months after the exposure, the patient started to have severe pain on the right side of his face, with excessive right eye tearing

His symptoms progressed to facial numbness, trouble swallowing and right arm numbness associated with nausea and vomiting.

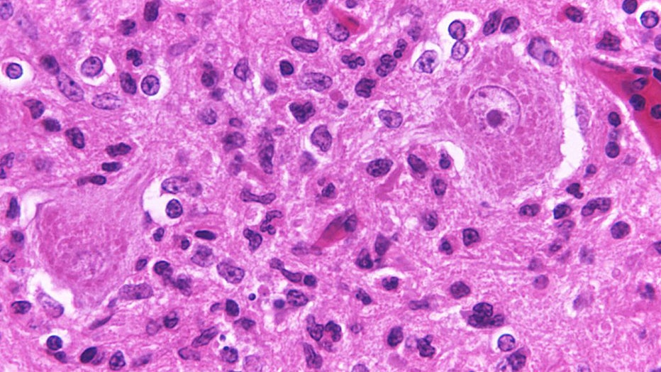
05ff8ded-

FILE - Photomicrograph of hematoxylin-eosin (H&E) stained brain tissue from a rabies encephalitis patient. (Smith Collection/Gado/Getty Images)

After several same-day emergency room visits for progressive symptoms, he was hospitalized approximately a week after first developing symptoms when he complained of worsening facial pain and difficulty swallowing.  

On workup, a lumbar puncture revealed concern for viral encephalitis, or inflammation in the brain due to a virus, but he subsequently died 15 days after developing symptoms of rabies. 

The team also found he had an undiagnosed immune deficiency called monoclonal gammopathy of undetermined significance, otherwise known as MGUS.

The CDC confirmed he met laboratory criteria for rabies, including rabies virus in his saliva and anti-rabies antibodies in his spinal fluid — and the genetic sequences of the rabies virus from both the patient and the bat that bit him were identical.

Neutralizing antibodies fight rabies

The team looked for "neutralizing antibodies" but could not detect any either in his central nervous system or bloodstream – despite receiving vaccine prophylaxis against rabies.

A person vaccinated against rabies generally develops an adequate immune response when neutralizing antibodies can be detected in their bloodstream to fight the virus, per the report.

An autopsy also confirmed rabies in the brain and metastatic prostatic cancer.

The authors concluded that the patient had a fatal outcome because his immune system could not mount a protective antibody response after receiving vaccine prophylaxis to prevent rabies – presumably because of undiagnosed MGUS that suppressed his immune system.

PRIOR COVID INFECTION PROVIDES JUST AS MUCH PROTECTION AS VACCINES, NEW STUDY FINDS

"Patients who fit this concern might benefit from additional [antibody] testing after completion of the prophylactic therapy to help assess the effectiveness of the therapy," Glatt told Fox News Digital.

"Investigations into the rabies biologics that were administered (human rabies immunoglobulin and rabies vaccines) found no manufacturing or potency concerns," Holzbauer added in an email. 

Limitations of the case

Both the patient’s wife and two health care professionals, who broke infection control protocol while caring for the patient, were vaccinated against rabies. 

CLICK HERE TO SIGN UP FOR THE HEALTH NEWSLETTER

The authors note the report is limited because they did not measure blood titers from people who received rabies vaccines from all the implicated lots.

The lot numbers are indicated on the vials of the vaccine. 

CLICK HERE TO GET THE FOX NEWS APP

They also could not determine how long the patient had MGUS.

"While tragic, this death represents an extremely rare event and does not challenge the high efficacy or safety profile of rabies post-exposure prophylaxis," Holzbauer said.

Read more on FOX News. 

Health