Enough Said: Vikings draft picks, reflecting on the Timberwolves season, and unfollowing people on social media
Enough Said hosts discuss the Minnesota Vikings' first round draft pick, reflect on the Minnesota Timberwolves' season, and talk about unfollowing people on social media. 2022 Minnesota Broadcasting Hall of Fame inductee Dan Barreiro is well known throughout the Twin Cities and beyond for his 3-6 p.m. Bumper to Bumper talk-show on KFAN 100.3-FM. Whether it?s battling with rubes and homers to remain honest or interviewing celebrities like Lou Nanne, Barreiro can be counted on daily to offer a refreshing take on the stories people are talking about. Prior to reaching the airwaves, Barreiro was a columnist for the Star Tribune for 17 years.
Enough Said hosts discuss the Minnesota Vikings' first round draft pick, reflect on the Minnesota Timberwolves' season, and talk about unfollowing people on social media. 2022 Minnesota Broadcasting Hall of Fame inductee Dan Barreiro is well known throughout the Twin Cities and beyond for his 3-6 p.m. Bumper to Bumper talk-show on KFAN 100.3-FM. Whether it?s battling with rubes and homers to remain honest or interviewing celebrities like Lou Nanne, Barreiro can be counted on daily to offer a refreshing take on the stories people are talking about. Prior to reaching the airwaves, Barreiro was a columnist for the Star Tribune for 17 years.
Jada Pinkett Smith says 'Red Table Talk' is looking for 'new home' after Facebook Watch cancellation
A Meta spokesperson said it will be refocusing on original content in virtual reality.
A Meta spokesperson said it will be refocusing on original content in virtual reality.
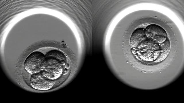
Sperm-injecting robot used to create babies in scientific breakthrough
According to the MIT report, engineers used a Sony PlayStation 5 controller to operate the robot.
According to the MIT report, engineers used a Sony PlayStation 5 controller to operate the robot.
People spent 24% more time on Instagram after launch of AI-powered Reels, Zuckerberg says
People are spending even more time on Instagram due to short-form video content they’re seeing in their feed through AI recommendations, according to Meta CEO Mark Zuckerberg.
People are spending even more time on Instagram due to short-form video content they’re seeing in their feed through AI recommendations, according to Meta CEO Mark Zuckerberg.
Senators look to ban kids under 13 from social media in bipartisan bill
The legislation would also reportedly set restrictions for how tech companies use algorithms on social media to serve minors. Here's what to know.
The legislation would also reportedly set restrictions for how tech companies use algorithms on social media to serve minors. Here's what to know.
Lost iPhone survives 33 days under water off Hawaiian coast
A Minnesota man gave up on retrieving his iPhone after dropping it while on vacation, but the phone had a lot more endurance than he thought.
A Minnesota man gave up on retrieving his iPhone after dropping it while on vacation, but the phone had a lot more endurance than he thought.
AST SpaceMobile completes first space-based voice call using smartphones
AST SpaceMobile parnered with AT&T, Rakuten, Vodafone
AST SpaceMobile parnered with AT&T, Rakuten, Vodafone
Red Cross urges gamers to obey laws of war while playing first-person shooters: 'Even wars have rules'
The humanitarian group wants to fight against the normalization of war, even for people playing video games on their couches.
The humanitarian group wants to fight against the normalization of war, even for people playing video games on their couches.
Study finds how fast new AI tech can crack your passwords
This new AI program can guess more than half of all commonly used passwords in minutes.
This new AI program can guess more than half of all commonly used passwords in minutes.
Twitter verification blue checkmarks reportedly reappearing for some users
Twitter removed the blue marks last week from accounts that don’t pay a monthly fee. But the marks mysteriously returned for many highly followed accounts over the weekend.
Twitter removed the blue marks last week from accounts that don’t pay a monthly fee. But the marks mysteriously returned for many highly followed accounts over the weekend.
How scammers are using your Snapchat and TikTok posts in their AI schemes
AI scams that employ synthetic voice and images pull data from TikTok, Facebook and Snapchat to fabricate fake hostages' voices and images, according to a security adviser.
AI scams that employ synthetic voice and images pull data from TikTok, Facebook and Snapchat to fabricate fake hostages' voices and images, according to a security adviser.
Misinformation machines? AI chatbots can spew falsehoods, even accuse people of crimes they never committed
"AI poses risks to fundamental rights and even the physical safety of our country's citizens," one legal expert says.
"AI poses risks to fundamental rights and even the physical safety of our country's citizens," one legal expert says.
Ex-Theranos tech Sunny Balwani begins serving prison time in California
Former Theranos executive Ramesh “Sunny" Balwani, 57, began serving his prison term Thursday at FCI Terminal Island prison in San Pedro, Calif.
Former Theranos executive Ramesh “Sunny" Balwani, 57, began serving his prison term Thursday at FCI Terminal Island prison in San Pedro, Calif.
These jobs are safe from the AI revolution — for now
Jobs involving manual or outdoor labor or specialized knowledge are less likely to be replaced by AI-informed automation.
Jobs involving manual or outdoor labor or specialized knowledge are less likely to be replaced by AI-informed automation.
Taxidermy bird drones aim to assist, advance wildlife research
Researchers hope to expand what they learn from these taxidermy bird drones to improve fuel efficiency in aviation and possibly into assisting space exploration.
Researchers hope to expand what they learn from these taxidermy bird drones to improve fuel efficiency in aviation and possibly into assisting space exploration.
Have ChatGPT skills? 9 in 10 companies hiring want you, survey finds
A recent survey found that businesses are seeking employees with ChatGPT experience, with 30% saying the need is urgent. Companies are looking to hire "prompt engineers" and some are offering starting salaries exceeding $200k.
A recent survey found that businesses are seeking employees with ChatGPT experience, with 30% saying the need is urgent. Companies are looking to hire "prompt engineers" and some are offering starting salaries exceeding $200k.
Apple unveils high-yield savings account for Apple Card holders
According to Apple, the card offers an annual percentage yield (APY) of 4.15% – more than 10 times the national average.
According to Apple, the card offers an annual percentage yield (APY) of 4.15% – more than 10 times the national average.
MPR leaving Twitter after NPR labeled as 'government-funded media'
Minnesota Public Radio is leaving Twitter, following the lead of National Public Radio.
Minnesota Public Radio is leaving Twitter, following the lead of National Public Radio.
Budweiser releases new pro-America ad with iconic mascot in wake of Anheuser-Busch Mulvaney controversy
The advertisement features one of Budweiser's famous Clydesdale horses passing iconic American landmarks.
The advertisement features one of Budweiser's famous Clydesdale horses passing iconic American landmarks.
NASA simulates mission to Mars
NASA is planning to return to the moon soon but it is only a pitstop for a mission to Mars.
NASA is planning to return to the moon soon but it is only a pitstop for a mission to Mars.



















